7 Potret Bahagia Amanda Manopo & Kenny Austin Umumkan Kehamilan Usai Sebulan Nikah
Amanda Manopo dan Kenny Austin membagikan kabar bahagia. Baru saja genap sebulan menikah, pasangan ini akan dikaruniai buah hati. Foto: dok Instagram amandamanopo
Amanda Manopo kini tengah mengandung anak pertamanya dengan Kenny Austin. Kabar bahagia ini mereka bagikan lewat unggahan di Instagram. Foto: Instagram/@amandamanopo
"Setelah banyak musim dalam hidupku… Akhirnya Tuhan percayakan aku sebuah anugerah terbesar: menjadi seorang ibu," tulis Amanda Manopo melihat keterangan di Instagramnya pada Rabu (26/11).Foto: Instagram/@amandamanopo
Ekspresi Amanda Manopo dan Kenny Austin yang tampak berkaca-kaca mengetahui bahwa sebentar lagi mereka akan menjadi orang tua bikin warganet ikut terharu. Foto: dok Instagram amandamanopo
Amanda Manopo dan Kenny Austin seolah tak bisa menyembunyikan raut semringah kala memperlihatkan hasil test pack garis dua. Foto: dok Instagram amandamanopo
Sang aktor langsung memeluk Amanda Manopo. Mereka tak sabar menyandang status sebagai ayah dan ibu. Foto: dok Instagram amandamanopo
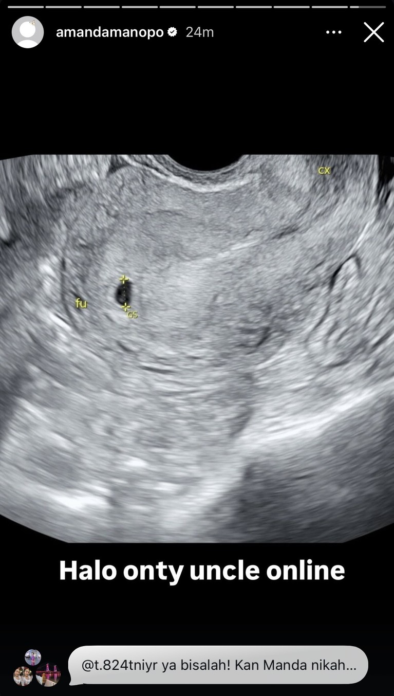
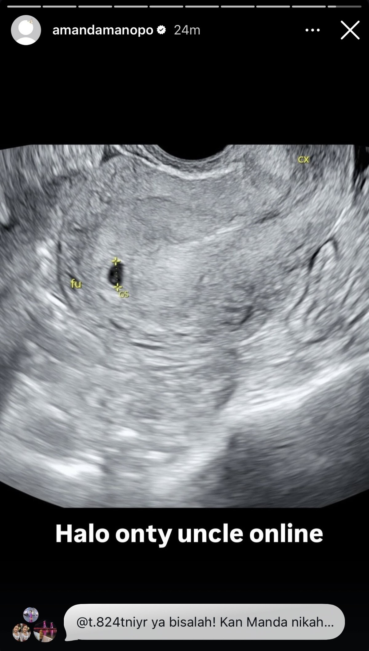
Tak hanya hasil test pack, Amanda Manopo dan Kenny Austin juga mengungkapkan USG calon bayi mereka. "Halo onty uncle online," tulisnya. Foto: Instagram/@amandamanopo
Ciee... Amanda Manopo Siap Diajak Nikah Muda dengan Kekasih
Selasa, 19 Feb 2019 09:52 WIB
Selamat, Amanda Manopo Umumkan Hamil Anak Kenny Austin
Selasa, 25 Nov 2025 19:45 WIB
Terungkap Momen Amanda Manopo dan Kenny Austin Fitting Jas
Jumat, 10 Oct 2025 14:00 WIB
Perut Buncit Amanda Manopo Bikin Gagal Fokus Disangka Hamil
Sabtu, 17 Jun 2023 23:00 WIB
Ibu Hamil Meninggal Usai Ditolak 4 Rumah Sakit di Papua, Prabowo & DPR RI Turun Tangan
Selasa, 25 Nov 2025 15:30 WIB
Lirik Lagu Get Yo Boy - Summer Walker & 21 Savage
Minggu, 23 Nov 2025 21:30 WIB
Aku, Wastra dan Kisah: Perpaduan Memukau Fashion dan Budaya dari Indonesia Timur
Minggu, 23 Nov 2025 20:00 WIBTERKAIT